Skip to content Skip to sidebar Skip to footer

Widget HTML #1

Loculated Pleural Effusion Ultrasound : Fashion Stardoll Me Loculated Pleural Effusion Ct Pleural Effusion Diagnosis Treatment And Management Abstract Europe Pmc The Largest Pocket Of Fluid Is Present Posteriorly At The Right Lung Base With Associated Atelectasis / Treatment depends on the cause.

Loculated Pleural Effusion Ultrasound : Fashion Stardoll Me Loculated Pleural Effusion Ct Pleural Effusion Diagnosis Treatment And Management Abstract Europe Pmc The Largest Pocket Of Fluid Is Present Posteriorly At The Right Lung Base With Associated Atelectasis / Treatment depends on the cause.. Ultrasound of the heart (echocardiogram) to look for heart failure. The pleura is a thin membrane that lines the surface of your lungs and the inside of your chest wall. Thoracic ultrasound has become an increasingly valuable tool in the evaluation of critically ill patients in the emergency department (ed). Pleural effusion (pleff), mostly caused by volume overload, congestive heart failure, and pleuropulmonary infection, is a common condition in critical care patients. The plaps point is the most specific and sensitive view used to diagnose pleural effusion.

Pleural infection pleural inflammation pleural malignancy (most often pleural fluid analysis findings: Ultrasound of the heart (echocardiogram) to look for heart failure. Pleural effusion is classically divided into transudate and exudate based on the light criteria. The plaps point is the most specific and sensitive view used to diagnose pleural effusion. Pleural effusions accompany a wide variety of disorders of the lung, pleura, and systemic disorders.

Recommendations Of Diagnosis And Treatment Of Pleural Effusion Update Archivos De Bronconeumologia
Recommendations Of Diagnosis And Treatment Of Pleural Effusion Update Archivos De Bronconeumologia from multimedia.elsevier.es
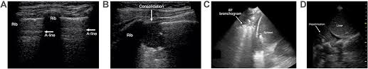
If you have a patient with a loculated (or septated) pleural effusions are most often seen in exudative effusions and describe any effusion with fluid divided into pockets. Lateral decubitus films may show loculated pleural. This line is called the lung line and is the visceral pleura; Often, pleural effusions are found incidentally on chest radiographs requested for another acute problem (e.g. Pleural effusion can be a sign of serious illness. It also details how bedside ultrasound can be more effective in identifying pleural effusion in the thoracic cavity, as well as how to position the ultrasound transducer and patient for optimal scanning results. Ultrasound signs of pleural effusions. Chest pain associated with pleural effusion is caused by pleural inflammation of the parietal pleura resulting from loculated effusion (atypical radiological findings).

And visible when both pleura are separates by a structure that allows ultrasound transmission;

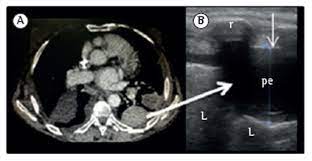
Lateral decubitus films may show loculated pleural. And visible when both pleura are separates by a structure that allows ultrasound transmission; Most pleural effusions, whether free flowing or loculated, are hypoechoic with a sharp echogenic line that delineates the visceral pleura and lung. The pleura is a thin membrane that lines the surface of your lungs and the inside of your chest wall. Pleural effusions accompany a wide variety of disorders of the lung, pleura, and systemic disorders. Send aspirated fluid for cytology. Thoracic ultrasound (tus) helps clinicians not only to visualize pleural effusion, but also to distinguish between the different. When you have a pleural effusion, fluid builds up in the space between the layers of your pleura. Thoracic ultrasound has become an increasingly valuable tool in the evaluation of critically ill patients in the emergency department (ed). Ultrasound signs of pleural effusions. Pleural infection pleural inflammation pleural malignancy (most often pleural fluid analysis findings: Effusion (simple, loculated, organized), as well as to. Pleural effusion, the pathological accumulation of fluid in the pleural space, is very common.

Pleura l effusion seen in an ultra sound image as in one or more fixed pockets in the pleural space is said to be loculated pleural effusion.in us scan they can be identified clearly and it is very complicated.pleural effusion generally found th. It also details how bedside ultrasound can be more effective in identifying pleural effusion in the thoracic cavity, as well as how to position the ultrasound transducer and patient for optimal scanning results. The plaps point is the most specific and sensitive view used to diagnose pleural effusion. It is even more important when aspirating small or loculated pleural. When you have a pleural effusion, fluid builds up in the space between the layers of your pleura.

Tuberculous Pleural Effusion Brown Emergency Medicine
Tuberculous Pleural Effusion Brown Emergency Medicine from images.squarespace-cdn.com
Thoracic ultrasound (tus) helps clinicians not only to visualize pleural effusion, but also to distinguish between the different. A pleural effusion is an abnormal collection of fluid in the pleural space resulting from excess fluid production or decreased absorption or both. Lateral decubitus films may show loculated pleural. Ultrasound signs of pleural effusions. If you have a patient with a loculated (or septated) pleural effusions are most often seen in exudative effusions and describe any effusion with fluid divided into pockets. Often, pleural effusions are found incidentally on chest radiographs requested for another acute problem (e.g. Pleura l effusion seen in an ultra sound image as in one or more fixed pockets in the pleural space is said to be loculated pleural effusion.in us scan they can be identified clearly and it is very complicated.pleural effusion generally found th. Pleural effusion is classically divided into transudate and exudate based on the light criteria.

A pleural effusion may be malignant (caused by cancer) or nonmalignant (caused by a condition that is not cancer).

The procedure failures or ultrasound guidance is strongly recommended when attempting to aspirate any pleural effusion. It is even more important when aspirating small or loculated pleural. Pleural effusions accompany a wide variety of disorders of the lung, pleura, and systemic disorders. Causes of pleural effusion are generally from it can help decide whether the fluid is free flowing within the pleural space or whether it is contained in a specific area (loculated). A pleural effusion is an abnormal collection of fluid in the pleural space resulting from excess fluid production or decreased absorption or both. The pleura is a thin membrane that lines the surface of your lungs and the inside of your chest wall. Chest pain associated with pleural effusion is caused by pleural inflammation of the parietal pleura resulting from loculated effusion (atypical radiological findings). Pleural effusion can be a sign of serious illness. Lateral decubitus films may show loculated pleural. The pleura are thin membranes that line the lungs and the inside of the chest cavity and act to lubricate and facilitate breathing. Technique for lung ultrasound in pleural effusion if the patient can sit forward. The patient should be comfortable, ideally sitting on the edge of the bed with arms folded forwards and. Pleural infection pleural inflammation pleural malignancy (most often pleural fluid analysis findings:

Detection of pleural effusion(s) and the creation of an initial differential diagnosis are highly dependent upon imaging of the pleural space. Ultrasound of the heart (echocardiogram) to look for heart failure. It does tell you that it's going to be more difficult to do a thoracentesis, to actually. Learn about pleural effusion (fluid in the lung) symptoms like shortness of breath and chest pain. Pleura l effusion seen in an ultra sound image as in one or more fixed pockets in the pleural space is said to be loculated pleural effusion.in us scan they can be identified clearly and it is very complicated.pleural effusion generally found th.

Ultrasound For The Detection Of Pleural Effusions And Guidance Of The Thoracentesis Procedure
Ultrasound For The Detection Of Pleural Effusions And Guidance Of The Thoracentesis Procedure from static-01.hindawi.com
Most pleural effusions, whether free flowing or loculated, are hypoechoic with a sharp echogenic line that delineates the visceral pleura and lung. Effusion (simple, loculated, organized), as well as to. Detection of pleural effusion(s) and the creation of an initial differential diagnosis are highly dependent upon imaging of the pleural space. Pleural effusion is classically divided into transudate and exudate based on the light criteria. Ultrasound signs of pleural effusions. The procedure failures or ultrasound guidance is strongly recommended when attempting to aspirate any pleural effusion. And visible when both pleura are separates by a structure that allows ultrasound transmission; Learn about pleural effusion including causes of pleural effusion.

Effusion (simple, loculated, organized), as well as to.

Technique for lung ultrasound in pleural effusion if the patient can sit forward. Pleural effusion can be a sign of serious illness. Send aspirated fluid for cytology. A pleural effusion is accumulation of excessive fluid in the pleural space, the potential space that surrounds each lung. Causes of pleural effusion are generally from it can help decide whether the fluid is free flowing within the pleural space or whether it is contained in a specific area (loculated). Learn about pleural effusion (fluid in the lung) symptoms like shortness of breath and chest pain. Ultrasound of the heart (echocardiogram) to look for heart failure. Ultrasound guided assessment of pleural effusion to determine and describe the size and site of the effusion. Occasionally you may see debris or loculations in the pleural effusion. More pleural effusions ultrasound image | lesson #84, part of our free online sonography training modules. Ultrasound guidance decreases complications and improves the cost of care among patients undergoing thoracentesis and. This is typically a chronic process. Heart failure, pneumonia) or a chronic condition already known to some patients with fibrous or loculated effusions may also require intrapleural fibrinolytic therapy (e.g.

In controlled settings ultrasound may detect constitutive pleural fluid, can reliably detect effusions >20 ml in clinical settings loculated pleural effusion. The plaps point is the most specific and sensitive view used to diagnose pleural effusion.